Є надія на повне відновлення функцій.
Ювелірна робота: у Львові лікарі врятували пацієнту відрізану кінцівку
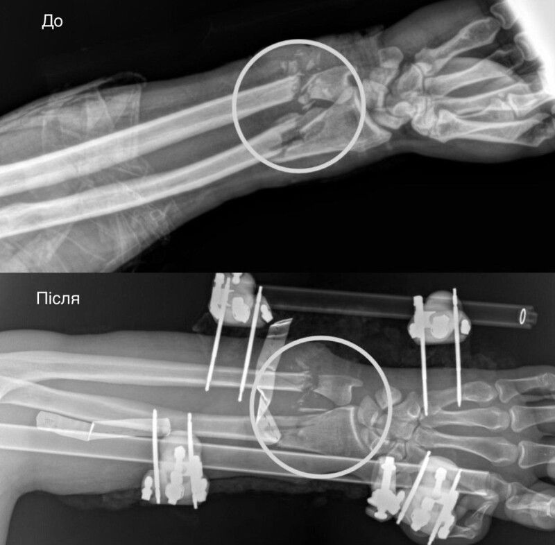
Рука чоловіка трималася лише на клаптику шкіри і була фактично ампутованою
Життя 37-річного мешканця Львівщини змінилося за одну мить. Під час заготівлі дров бензопила вислизнула з рук чоловіка і майже повністю перерізала ліве передпліччя. Дружина допомогла накласти імпровізований джгут із тканини і викликати швидку.
Постраждалого терміново доправили до Лікарні Святого Пантелеймона, де відразу забрали до операційної, пише Перше медичне об'єднання Львова.
Травма була критичною: повністю пересічені артерії, пошкоджені кістки, сухожилля, м’язи та нерви. Рука фактично трималася лише на шкірі. За порятунок кінцівки взялася велика мультидисциплінарна команда, а кожна хвилина була на вагу золота.
Першими свою роботу в операційній виконали ортопеди-травматологи. Вони стабілізували переламані кістки передпліччя за допомогою апарата зовнішньої фіксації. Після чого вже судинні хірурги взялися відновлювати кровопостачання. Цей етап був вирішальним, адже без циркуляції крові тканини б швидко змертвіли. Однак, на щастя, хірургам вдалося успішно зшити судини.
«Складність оперативного втручання полягала у відновленні всіх структур і, по суті, самої функції руки. Без відновлення кровопостачання рука була б нежиттєздатною і довелося б виконувати ампутацію. Лише злагоджена поетапна робота мультидисциплінарної команди дала шанс її зберегти», — пояснює завідувач відділення судинної хірургії Андрій Мелень.
Під час третього етапу хірурги зайнялися вже м’якими тканинами. Аби відновити згинально-розгинальну функції руки, ушили пошкоджені сухожилля і м’язи. А нерви підготували до подальшої операції, яка відбудеться через місяць-два. Завершилося це багатоетапне втручання аутодермопластикою, під час якої реконструктивні хірурги закрили дефект власною шкірою пацієнта.
Нині чоловік проходить реабілітацію, яка буде тривалою. Шкірний трансплантат прижився, поступово відновлюється рух пальців. Завдяки складному багатокомпонентному втручанню лікарям вдалося не лише уникнути ампутації, а й подарувати пацієнтові шанс на відновлення функцій та повноцінне життя.

Приєднуйтесь до нашого Телеграм-каналу Волинь ЗМІ
Читайте також: Мешканка села на Волині відзначила свій 92-й день народження.