Курси НБУ $ 44.12 € 51.91
Лікарі пришили пацієнту руку,  яку він відрізав собі бензопилою!

Шкірний трансплантат прижився, поступово відновлюється рух пальців.

Фото: «Перше медичне об’єднання Львова».

Лікарі пришили пацієнту руку, яку він відрізав собі бензопилою!

Кінцівка чоловіка трималася лише на клаптику шкіри і була фактично ампутованою

Життя 37-річного мешканця Львівщини змінилося за одну мить. Під час заготівлі дров бензопила вислизнула з його рук і майже повністю перерізала ліве передпліччя. Дружина допомогла накласти імпровізований джгут із тканини і викликати «швидку».

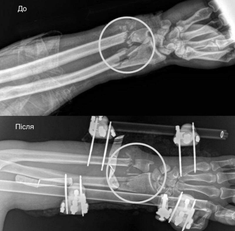
Постраждалого терміново доправили до Лікарні Святого Пантелеймона «Першого медичного об’єднання Львова», де відразу забрали до операційної. Травма була критичною: повністю пересічені артерії, пошкоджені кістки, сухожилля, м’язи та нерви. Рука фактично трималася лише на шкірі. За порятунок кінцівки взялася велика мультидисциплінарна команда, а кожна хвилина була на вагу золота.

Першими свою роботу в операційній виконали ортопеди-травматологи. Вони стабілізували переламані кістки передпліччя за допомогою апарата зовнішньої фіксації. Після чого вже судинні хірурги взялися відновлювати кровопостачання. Цей етап був вирішальним, адже без циркуляції крові тканини б швидко змертвіли. Однак, на щастя, хірургам вдалося успішно зшити судини.

Під час заготівлі дров бензопила вислизнула з його рук і майже повністю перерізала ліве передпліччя.

«Складність оперативного втручання полягала у відновленні всіх структур і, по суті, самої функції руки. Без відновлення кровопостачання рука була б нежиттєздатною і довелося б виконувати ампутацію. Лише злагоджена поетапна робота мультидисциплінарної команди дала шанс її зберегти», – пояснює завідувач відділення судинної хірургії Андрій Мелень.

Під час третього етапу хірурги зайнялися вже м’якими тканинами. Аби відновити згинально-розгинальну функції руки, вшили пошкоджені сухожилля і м’язи. А нерви підготували до подальшої операції, яка відбудеться через місяць–два. Завершилося це багатоетапне втручання аутодермопластикою, під час якої реконструктивні хірурги закрили дефект власною шкірою пацієнта.

Нині він проходить реабілітацію, яка буде тривалою. Шкірний трансплантат прижився, поступово відновлюється рух пальців. Завдяки складному багатокомпонентному втручанню, лікарям вдалося не лише уникнути ампутації, а й подарувати пацієнтові шанс на відновлення функцій та повноцінне життя.

Лія ЛІС

Рука «до» і «після» операції.
Рука «до» і «після» операції.

Приєднуйтесь до нашого Телеграм-каналу  Волинь ЗМІ

Реклама Google

Telegram Channel